
استرجع ابتسامتك بثقة مع زراعة الأسنان في مركز البرازي الطبي منذ 41 سنة نخدم أهل العين، وأكثر من 100,000 مراجع في مختلف تخصصات طب الأسنان. استشارة مجانية + خطة علاجية واضحة
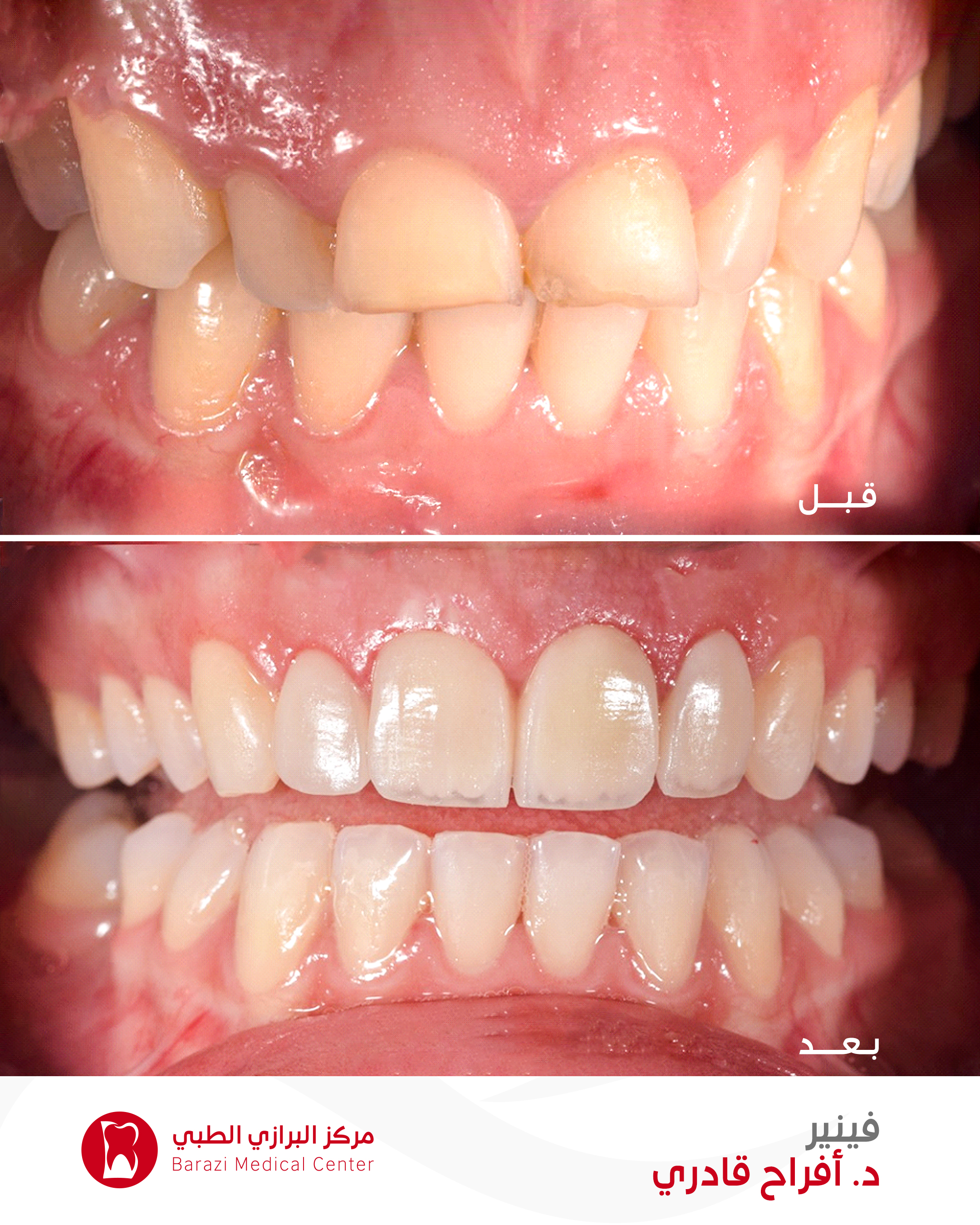
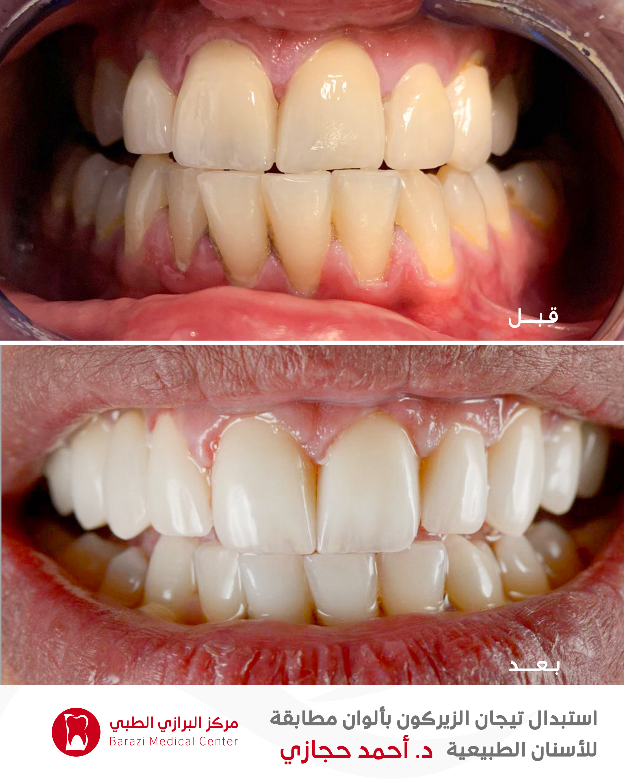
شاهد النتائج المذهلة لمرضانا من خلال مقارنة الصور قبل وبعد العلاج
لتعويض سن واحد مفقود بنتيجة ثابتة ومظهر مطابق للأسنان الطبيعية. مثالية للحفاظ على الأسنان المجاورة بدون حفر.
يعوّض عدّة أسنان مفقودة دون الحاجة لنحت الأسنان السليمة، مع ثبات وقوة مضغ ممتازة.
حل اقتصادي مدعوم بزراعتين–أربع يوفر ثباتاً أكبر من الأطقم التقليدية وسهولة في العناية.
تركيب مؤقت جمالي في نفس اليوم لبعض الحالات المناسبة بعد التقييم الطبي والعظمي.
خيارات هندسية للمرضى ذوي العظم المحدود تقلّل الحاجة لعمليات ترقيع.
عندما نحتاج تعزيز العظم لضمان ثبات طويل الأمد ونتائج مستقرة. * تحدَّد الإمكانية بعد الفحص والصور ثلاثية الأبعاد.
نستخدم تخديراً موضعياً وتقنيات موجهة لتقليل التداخل الجراحي، ما يجعل الإجراء مريحاً لمعظم المرضى مع ألم خفيف بعد العملية يمكن السيطرة عليه.
على حسب حالتك، غالباً من شهرين لأربعة شهور، وأحياناً نر كّب مؤقت بنفس اليوم إذا الحالة تسمح.
الزرعة نفسها قد تستغرق جلسة واحدة ثم فترة اندماج عظمي عادة 4–2 أشهر قبل التركيب النهائي (قد تختلف حسب الحالة).
نُقيّم صحة اللثة وكثافة العظم. حتى مع نقص العظم، تتوفر حلول مثل الترقيع أو زراعة قصيرة.
إيه، الزراعة ثابتة وتعطيك ثقة بالمضغ والكلام، بس لازم العناية والمتابعة.
بعد اكتمال نمو العظم (عادة بعد 18 عاماً). الكبار من أي عمر مرشحون طالما حالتهم الصحية مناسبة.
بعد اكتمال العلاج ترجع الأمور طبيعية، ابدأ بأكل طري وبالتدريج رج ّ ع نمطك المعتاد.
تنظيف يومي بالخيط والفرشاة وزيارات دورية كل 6 أشهر لضمان ثبات وصحة اللثة حول الزرعة
نعم، نوّفر خطط دفع مرنة عن طريق Toothpay, Tabby, Tamara / توث باي، تابي، تمارا بالاضافة آننا نستقبل شركات التآمين ضمان وثقة.
نحن ملتزمون بتقديم أفضل الخدمات الطبية مع الحفاظ على أعلى معايير الجودة
نوفر لك خيارات دفع مرنة ومريحة لجميع خدماتنا الطبية
نقبل جميع شركات التأمين المعتمدة لضمان راحة بالك
من السبت إلى الخميس من 9:00 صباحا إلى 9:00 مساءا
الجمعة من 9:00 صباحا إلى 5:00 مساءا